01.FEATURES6つの特徴

特徴01自宅で完結

通院せずにマウスピース作製からホワイトニングまで自宅でできる。

特徴02無料オンライン診療

初めての方はまず無料カウンセリング!一人ひとりの歯の質やご希望に合わせて適切なホワイトニングの方法をご提案いたします。

特徴03見た目の
清潔感&印象アップ

歯のホワイトニングは、自信向上と魅力的な笑顔をもたらし、清潔感のある白い歯は好印象を与え、若々しさと明るい外見を演出します。

特徴04歯を白くする
医療ホワイトニング

美容ホワイトニングは歯の表面の着色除去のみで、効果は限定的です。一方、医療ホワイトニングは過酸化尿素(水素)により歯自体を漂白し、より効果的に歯を白くします。

特徴05日本初認可の
過酸化尿素16%

一般的なホームホワイトニングジェルは10%濃度ですが、きれいな歯クリニックでは16%の高濃度ジェルを使用し、より効果的です。

特徴06セット購入でお得に

いつでも1ヶ月:4,000円台(最大25%OFF)で白い歯を維持できます。※ホワイトニング完了後、継続的に1ヶ月1.5本使用する場合

02.DOCTOR医師紹介

ゆか歯科クリニック 院長

大西 有香

Ohnishi Yuka

2014年 朝日大学歯学部 卒業
2024年 ゆか歯科クリニック 開設

常に勉強を怠らず、患者様に最先端の審美歯科治療と安心・安全・信頼をご提供することをお約束致します。

03.POINTホームホワイトニングで白くするポイント

ティース!

POINT01ホームホワイトニングのメリット

  • 厚生労働省認可の薬剤で安全性が高い
  • 自分のタイミングで歯を白くすることができる
  • 色戻りが少ない
  • オフィスホワイトニングでは光が届かない奥歯まで白くすることができる

歯っ!

POINT02継続がおすすめ

継続するためには「ながらホワイトニング」がおすすめです。仕事をしながら、身支度をしながら、入浴しながらなど、ライフスタイルに上手に取り入れてみてください。

ホームホワイトニングとオフィスホワイトニングの違い

ホームホワイトニング

マウスピースを作り、自宅で行う
ホワイトニングです。

白くなるまでには多少時間を要しますが、繰り返し使い続けることで納得のいく白さを手に入れることができます。歯の象牙質からじっくりと白くしていくため、効果が長続きしやすいのが特徴です。
オフィスホワイトニング

歯科医院で薬剤と光の照射によって行う
ホワイトニングです。

一度の施術で実感を感じやすい一方、歯の内部まで薬剤が浸透しづらいため、ホームホワイトニングと比較して後戻りの時間は早いとされています。

04.FLOWホワイトニング開始までの流れ

シンプルな3ステップ

「ホームホワイトニングって難しそう」と思っている方に向けて、
ホームホワイトニングのやり方を3ステップで解説します。

STEP01:無料オンライン診療
STEP02:マウスピース作製
STEP03:ホワイトニング開始

05.PRICE料金プラン

マウスピースをお持ちでない方

マウスピース作製
19,600円

今なら9,800円

※初回のみ作製
※マウスピースをお持ちの方は作製不要

マウスピースをお持ちの方

まずはお試し

2本コース7,800円

一ヶ月で集中的に白く

4本コース12,400円

セット購入で更にお得に!

8本コース23,400

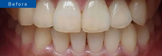
06.CASES症例

case01.

  • Before
  • After
20代:女性期間:1ヶ月 使用本数:4本 費用:12,400円

施術内容:ホワイトニングジェル(濃度16%)を用いて歯を白くします。
リスク:個人差がありますが、歯がしみる場合があります。
※保険適用外の自由診療となります。 ※効果や感じ方には個人差があります。

case02.

  • Before
  • After
30代:男性 喫煙家期間:2ヶ月 使用本数:6本 費用:20,200円

施術内容:ホワイトニングジェル(濃度16%)を用いて歯を白くします。
リスク:個人差がありますが、歯がしみる場合があります。
※保険適用外の自由診療となります。 ※効果や感じ方には個人差があります。

07.FAQもっと知りたい方へ

どのぐらいの期間で白くなりますか?
一般的に1日1時間半の装着で連続で使用する場合、2週間を目安とお考えください。ただし、歯の状態や歯質によって、個人差はあります。
記載以外の追加料金はありますか?
記載以外の追加料金はございません。
ホワイトニングの持続期間はどのぐらいですか?
ホワイトニング効果の持続期間は6ヶ月~1年程度です。ただし生活習慣などによって個人差があります。

今すぐ無料診療予約今すぐ無料診療予約